The following morning I’m up early and working. I had figured that I would be back to work after Erika and Mira are discharged this morning. Just in case, I reschedule all of my meetings for the day.
While enroute to the hospital, around 8AM, Erika calls and says, “They just came in and want to do surgery.” I am shocked and tell her not to do anything until I get there. It’s not like there’s anything that I can do about it, but I am a firm believer that you must be your own advocate while in a hospital. I look down at my cell phone and notice it’s only half charged, not good. I didn’t even charge it today as I figured we would only be at the hospital a short time and I would charge it when I got to work.
As I arrive, we both call our parents. Then I start calling our old family doctor a couple other doctors that we know. I figure more feedback is better than taking the hospital’s word for it. I won’t go into a million details here, just know that after a dozen or so conversations we garnered the following information:
- They have diagnosed Mira with a epidural hematoma, they want to do a craniotomy to release the pressure inside her head. You can find a very helpful article on this here: http://www.muhealth.org/neuromed/epidural.shtml
- From what we heard, if you are going to have a closed head injury, this is the one you want to have.
- Yes, Rainbow Babies is one of the top Children’s Hospitals in the US. But they are famous for pediatric neurosurgery. The head person, Dr. Cohen, founded the unit and he is partners with our neurosurgeon Dr. Robinson.
- Neurosurgery is a big deal. Anytime you cut open the head, this is not to be taken lightly. This is significantly different and more serious than getting your gall bladder removed, for instance.
- Opinions varied on whether or not we should proceed from the people we trust. Our main takeaways were that we should definitely trust the doctors and the results of the cat scans would really hold the answers.
- From what we heard, this surgery is much harder on the parents than it was the child.
It’s difficult to go through our emotions at that time. As we’re just trying to stay focused to make a good decision for our daughter. I immediately called John Walz, one of my very good friends that only lives about 90 minutes away in Toledo, Ohio. I briefly explained what was going on and just said that I needed someone to drive over and pick up a bunch of stuff from our house as we we’re going to be at the hospital for a while and really should be leaving.
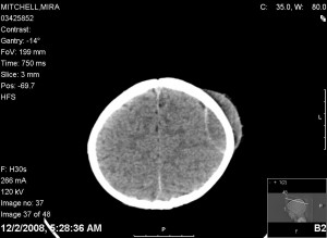
Dr. Robinson came in to talk with us more about the surgery and took us in to see the cat scan that had them concerned. For those that don’t know, think of a cat scan as a series of pictures that take different slices of your head to see what is going on. This is one of the slides that concerned us the most:
On the right hand side of the head, you can see the “perfect B cup” that Erika talked about. But just below that, you can see the epidural hematoma. If you look just above the injury inside the skull, you will see a small dart spot (that’s space). Which means this injury is actually putting pressure on her brain. Dr. Robinson told us that this is probably one of the biggest hematomas she has seen without accompanying symptoms. She couldn’t believe that Mira was just acting normal. This one picture was enough to convince us that we needed surgery.
Now with the knowledge that our little peanut would be heading into brain surgery sometime in the next few hours, we started to panic. That was about the time that John and Raegan Walz returned from our house with the supplies. They actually came into the hospital and just sat around with us.
You probably don’t remember, but Mira had not had anything significant to eat since probably close to lunchtime the previous day. Now she was laying in the hospital bed literally begging us for food. “Please strawberries! Please chicky! Please, please, please!” It was more than either of us could handle, but John and Raegan did a good job of just keeping us occupied and focused on things other than Mira. Lucky for us, Mira took a lot of naps that day and her bouts of begging usually only lasted 15-20 minutes each.
Surgery kept getting pushed back, which meant that Mira became more hungry and upset and our nerves more unraveled. We knew that Erika’s parents (Mark and Cheryl) were enroute from Muskegon and should be arriving nearly anytime. 10 minutes after Mark and Cheryl arrived, they took Mira into surgery at about 6:30PM.
Erika and I were able to walk with her to the surgery wing. And I was able to go into the operating room and hold Mira while they put her under. The moment I handed her over and set her on the operating table. Oh man, I haven’t had many moments in my life where I felt so helpless. She was completely drugged and I knew that they were about to cut her head open. Just terrible. I found Erika waiting for me in the hall and we just cried.
Back in the room, John and Raegan left shortly thereafter as Mark and Cheryl could stay with us. I can’t imagine how much more difficult the day would have been if they weren’t with us. Everytime we would start to get worried and breakdown, they would just quickly change the subject. Now we just tried to keep ourselves occupied, we both picked up our laptops and started emailing and doing whatever we could to stay occupied.
Surgery was incredibly short: 80 minutes from when I dropped her off and they wheeled her back into the room. Here is what we saw:
Dr. Robinson said that things went very well and everything was just fine. Mira would be out for a while still and was scheduled for another cat scan at 4AM. Erika and I tried our best to lay down and get some sleep. While Mark and Cheryl headed back to our house to do the same.

